Chấn thương cấp tính hoặc kích ứng mãn tính gây ra những thay đổi trong dây thanh có thể dẫn tới các khối u, hạt xơ hoặc u hạt. Tất cả đều gây ra khàn tiếng và hụt hơi. Sự tồn tại của các triệu chứng này > 3 tuần cho thấy sự tổn thương của dây thanh. Chẩn đoán dựa trên nội soi thanh quản và sinh thiết trong những trường hợp được chọn để loại trừ ung thư. Phẫu thuật loại bỏ tổn thương và bảo tồn giọng nói, và loại bỏ các nguồn kích thích ngăn ngừa sự tái phát.
1. Nguyên nhân
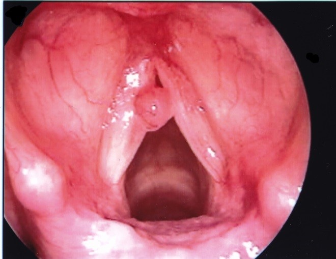
Polyps và hạt xơ là kết quả của chấn thương của niêm mạc dây thanh. U hạt là kết quả của tổn thương màng sụn nằm trên các mấu thanh của sụn phễu.

Polyps dây thanh có thể xảy ra ở 1/3 giữa dây thanh và thường một bên. Polyps có xu hướng lớn hơn và lồi hơn so với hạt xơ và thường có một mạch máu chiếm ưu thế nên màu hồng nhạt hoặc hồng đậm hơn. Chúng thường là kết quả của một thương tích ngữ âm cấp tính khởi phát. Các bệnh tích polyp khác, thường là hai bên, có thể có nhiều nguyên nhân khác, bao gồm trào ngược dạ dày thực quản, bệnh lý suy giáp chưa được điều trị, phản ứng dị ứng thanh quản mạn tính, hoặc hít chất kích thích mãn tính, như khói công nghiệp hoặc khói thuốc. Tổn thương cấp tính thường gây ra các polyp có cuống, trong khi đó viêm phù nề dây thanh là do kích ứng mãn tính.

Hạt xơ dây thanh thường xảy ra hai bên ở 1/3 giữa dây thanh. Nguyên nhân chính của chúng là lạm dụng giọng nói mãn tính – la hét, la lớn, hát to, hoặc sử dụng một tần số thấp không tự nhiên.

U hạt dây thanh xảy ra ở 1/3 sau của dây thanh tương ứng với mấu thanh. Chúng có thể là hai bên hoặc một bên. Chúng thường là hậu quả của chấn thương đặt nội khí quản nhưng có thể trầm trọng thêm do bệnh trào ngược.
2. Triệu chứng và dấu hiệu
Tất cả các polyp, nốt và u hạt đều dẫn đến khàn giọng và khó thở.
Chẩn đoán
- Nội soi thanh quản
- Sinh thiết
Chẩn đoán dựa trên hình ảnh trực tiếp hoặc gián tiếp của thanh quản bằng gương hoặc ống nội soi thanh quản. Sinh thiết tổn thương nghi ngờ để loại trừ ung thư được thực hiện dưới VI PHẪU THANH QUẢN.
3. Điều trị
- Loại bỏ các nguyên nhân
- Đối với polyps, thường là vi phẫu cắt polyp
Ngừng việc lạm dụng giọng nói chữa hầu hết các hạt xơ và u hạt và ngăn ngừa sự tái phát. Loại bỏ các tác nhân gây kích thích (bao gồm điều trị bất kỳ chứng trào ngược dạ dày thực quản) cho phép chữa bệnh và cần thiết để ngăn ngừa tái phát. Loại bỏ các chất kích thích với thanh quản (bao gồm điều trị trào ngược dạ dày thực quản) cho phép điều trị và liệu pháp luyện giọng với chuyên gia thanh học làm giảm chấn thương dây thanh quản do hát không đúng hoặc lạm dụng giọng kéo dài. Hạt xơ dây thanh thường mất đi với liệu pháp luyện giọng. U hạt mà không mất đi khi điều trị có thể được loại bỏ bằng phẫu thuật nhưng có xu hướng tái phát.
Hầu hết các polyps phải được phẫu thuật cắt bỏ để khôi phục giọng nói bình thường. Các tổn thương dạng polyp khác, thường là hai bên, xuất phát từ việc lạm dụng thuốc lá hoặc trạng thái suy giáp, nên được điều trị ngay từ đầu. Phẫu thuật cắt bỏ vi phẫu bằng kéo vi phẫu trong khi soi thanh quản trực tiếp tốt hơn là cắt bỏ bằng laser, điều này có thể gây thương tổn nhiệt hơn nếu sử dụng không đúng cách.
Trong vi phẫu thanh quản kính hiển vi hoạt động được sử dụng để kiểm tra, sinh thiết, và vi phẫu trên thanh quản. Hình ảnh cũng có thể được ghi lại trên video. Bệnh nhân được gây mê, và đường thở được bảo vệ bằng cách thông khí áp lực dương qua ống soi thanh quản, nội khí quản, hoặc, đối với đường thở không được đảm bảo phải mở khí quản. Bởi vì kính hiển vi cho phép quan sát với độ phóng đại, tổn thương có thể được loại bỏ chính xác, giảm thiểu tổn thương (có thể vĩnh viễn) đối với cơ chế phát âm. Phẫu thuật laser có thể được thực hiện thông qua hệ thống quang học của kính hiển vi để cho phép cắt chính xác. Vi phẫu được ưa thích đối với hầu hết các sinh thiết thanh quản, các thủ thuật liên quan đến các khối u lành tính, và cho nhiều phẫu thuật thanh học.
Thời gian phục vụ:
Thứ 2 đến Chủ Nhật hàng tuần: Từ 07h00 sáng đến 17h00 chiều
Địa điểm:
Phan Văn Khỏe, Khu phố 1, Phường 1, Thị xã Cai Lậy, Tỉnh Tiền Giang.
Website: phongkhamsaigonmekong.com
Facebook: Phòng khám Đa khoa Sài Gòn Mekong

